الطبابة

Archive

اسباب سقوط تلبيسات الاسنان

(5) من اهم اسباب سقوط تلبيسة الاسنان

29 ديسمبر، 2025

جدول المحتويات سقوط تلبيسة الاسنان قد يدل على وجود مشاكل أكبر في صحة الفم، تعرف معنا في هذا المقال على اهم أسبابه وكيفية الوقاية منه. ما هي تلبيسة الاسنان؟ هي عبارة عن غلاف رقيق يتم وضعه على الاسنان التالفة، وذلك بهدف استعادة شكلها وحجمها وقوتها، وتصنع عادةً من السيراميك المقوى بالمعدن او الزيركون. يتم استخدامها […]

Read More
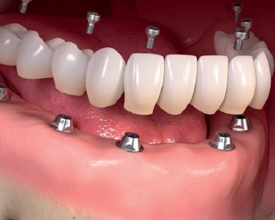
زراعة الاسنان باستخدام الموجه الجراحي

زراعة الاسنان باستخدام الموجه الجراحي، ميزاتها واستخداماتها

29 ديسمبر، 2025

جدول المحتويات لتعويض الأسنان المفقودة بوقت قصير ومن دون الم، تعرف معنا في هذا المقال على مزايا زراعة الأسنان باستخدام الموجه الجراحي. ما هي زراعة الاسنان باستخدام الموجه الجراحي؟ زراعة الأسنان باستخدام الموجه الجراحي تعد من التقنيات الحديثة تستخدم التخطيط الرقمي ثلاثي الأبعاد والليزر لتركيب الزرعات بدقة فائقة عبر فتحات صغيرة في اللثة، دون الحاجة […]

Read More
فشل زرعة الاسنان

(7) من اهم أسباب فشل زرعة الاسنان، وكيف يمكن تجنبها

29 ديسمبر، 2025

جدول المحتويات قد تفشل زراعة الأسنان لأسباب متنوعة، مما يهدد الابتسامة ويثير القلق، تعرف معنا في هذا المقال على اسباب فشل زرعة الاسنان وكيفية تجنب هذه المشكلة. ما هي زراعة الاسنان؟ هي إجراء جراحي يهدف إلى استبدال أسنان مفقودة عن طريق زرع جذور صناعية في الفك، حيث تستخدم زرعات الأسنان لتثبيت الأسنان الاصطناعية وتعويض الأسنان […]

Read More
الفرق بين الفينير المباشر والفينير الغير مباشر

(3) من اهم الفروق بين الفينير المباشر والفينير الغير مباشر

25 ديسمبر، 2025

جدول المحتويات يعد الفينير من الحلول التجميلية الرائجة في طب الاسنان، حيث يساهم في تحسين مظهر الأسنان وإعطائها مظهراً رائعاً، تعرف على اهم الفروق بين الفينير المباشر والفينير الغير مباشر. ما هو الفينير المباشر؟ هو نوع من أنواع القشور التجميلية تطبق مباشرةً على الأسنان خلال جلسة واحدة عند طبيب الأسنان، حيث يتم استخدام مواد مثل […]

Read More
تركيبات اسنان البورسلان

ما هي تركيبات اسنان البورسلان، فوائدها وكيفية الحفاظ عليها

10 ديسمبر، 2025

جدول المحتويات اذا كنت تعاني من مظهر أسنانك المكسورة، وترغب في التخلص من هذه المشكلة، تعرف معنا في هذا المقال على ميزات تركيبات اسنان البورسلان، وكيفية الحفاظ عليها. ما هي تركيبات اسنان البورسلان؟ تعد تركيبة البورسلان من أشهر التركيبات وأكثرها شيوعاً، وهي عبارة تلبيسات او قشور او جسور خزفية تستخدم لتغطية الأسنان المتضررة أو المشوهة […]

Read More
طقم الاسنان المتحرك

(6) من اهم مزايا طقم الاسنان المتحرك

8 ديسمبر، 2025

جدول المحتويات اذا كنت ترغب في الحصول على ابتسامة صحية دون اللجوء الى زراعة الاسنان، تعرف معنا في هذا المقال على طقم الاسنان المتحرك ومميزاته. ما هو طقم الاسنان المتحرك؟ هو مجموعة من الأسنان الاصطناعية التي يمكن نزعها بسهولة، ويستخدم لتعويض الأسنان المفقودة مما يساعد على استعادة وظيفة الفم والمظهر الجمالي. تختلف تركيبات الاسنان المتحركة […]

Read More
تراكب الاسنان

اهم الطرق لعلاج تراكب الاسنان

4 ديسمبر، 2025

جدول المحتويات يعد تراكب الاسنان من التحديات التي ترافقك فترة طويلة، تعرف معنا في هذا المقال على اسباب تراكب الاسنان وطرق علاجه. ما هو تراكب الاسنان؟ تراكب الاسنان ويعرف أيضاً بازدحام الأسنان، هو حالة تحدث عندما لا يكون هناك مساحة كافية للأسنان للنمو بشكل صحيح، مما يؤدي إلى انحرافها وتراكبها فوق بعضها. ما هي أعراض […]

Read More
تقنية حقن الميزوثيرابي للشعر

ما هي تقنية حقن الميزوثيرابي للشعر، واهم فوائدها

15 نوفمبر، 2025

جدول المحتويات هل سئمت من تساقط الشعر المستمر؟ وترغب في التخلص من هذه المشكلة وإعادة القوة والكثافة لشعرك، تعرف معنا في هذا المقال على فوائد الميزوثيرابي وكيف يعمل؟ ما هي تقنية حقن الميزوثيرابي للشعر؟ هي إجراء طبي يتم من خلال حقن مزيج من الفيتامينات والأحماض الأمينية والمعادن ومضادات الأكسدة مباشرة في فروة الرأس لتغذية بصيلات […]

Read More
اسباب انتفاخ الخد بعد زراعة الاسنان

اهم اسباب انتفاخ الخد بعد زراعة الاسنان، وكيفية التخلص منه

15 نوفمبر، 2025

جدول المحتويات إذا كنت تعاني من انتفاخ الخد بعد زراعة الاسنان، تعرف معنا في هذا المقال على اسباب الانتفاخ وطرق التخلص منه. ما هي زراعة الاسنان؟ هي إجراء جراحي يهدف إلى استبدال جذور الأسنان المفقودة باستخدام دعامات معدنية تشبه البراغي من حيث الشكل والوظيفة. حيث يشمل هذا الإجراء استبدال الأسنان المتضررة أو المفقودة بأسنان اصطناعية […]

Read More
الماكولات الصديقة للاسنان

للحفاظ على صحة فم مثالية، اليك اهم المأكولات الصديقة للاسنان

9 نوفمبر، 2025

جدول المحتويات تؤثر الأطعمة على أسنانك بطريقة سلبية أو إيجابية بناء على نوع الغذاء الذي تتناوله، تعرف معنا في هذا المقال أهم المأكولات الصديقة للاسنان. ما هي المأكولات الصديقة للاسنان؟ هي الأطعمة التي تعزز صحة الفم وتقلل من تعرض الأسنان للتسوس والأمراض اللثوية، حيث توفر هذه الأطعمة العناصر الغذائية الضرورية وتساهم في إنتاج اللعاب، الذي […]

Read More

الطبابة

احجز موعد