الطبابة

د.عادل الوداني

27 يوليو، 2023

د.عادل الوداني

د.عادل الوداني

المدير الطبي الحالي لقسم الأسنان في مركز الطبابة الطبي , يتمتَّع الدكتور عادل الوداني بخبرةٍ واسعة، فهو مختصٌّ في:

  1. علاجات جذور الأسنان.
  2. علاجات وتجميل الأسنان.
  3. تركيبات الأسنان التجميلية.
  4. تبييض الأسنان.

حاصل على درجة البكالوريوس في طب وجراحة الأسنان عام 2019م، ودرجة الدبلوم في السيطرة على الأمراض المعدية، وإدارة المستشفيات من الجامعة الأمريكية للعلوم والتكنولوجيا - لبنان

x10

تبييض الأسنان

تبييض الأسنان علاجات الاسنان تبييض الأسنان نحن نقدم تجربة فريدة تضمن لك التخلص من الشعر الغير مرغوب فيه بشكل دائم وبأمان. باستخدام تقنية الليزر المتطورة

المزيد ..
x9

تركيبات الأسنان التجميلية

تركيبات الأسنان التجميلية علاجات الاسنان تركيبات الأسنان التجميلية نحن نقدم تجربة فريدة تضمن لك التخلص من الشعر الغير مرغوب فيه بشكل دائم وبأمان. باستخدام تقنية

المزيد ..
Close-up of dentist examining a female patient with tools at dental clinic

علاجات وتجميل الأسنان

علاجات وتجميل الأسنان علاجات الاسنان علاجات وتجميل الأسنان يتشرف قسم علاج وتجميل الأسنان في مركز الطبابة للتخصصات الطبية بتقديم أفضل الخدمات العلاجية والتجميلية في قسم

المزيد ..
3D illustration of root canal treatment process.

علاجات جذور الأسنان

علاجات جذور الأسنان علاجات الاسنان علاجات جذور الأسنان نحن نقدم تجربة فريدة تضمن لك التخلص من الأم الأسنان بشكل دائم وبأمان وعلاج الأسنان المتضررة بعد

المزيد ..

10

سنوات

من الخبرة

100

عملية

تجميلية للاسنان

1200

مريض

تم علاجهم

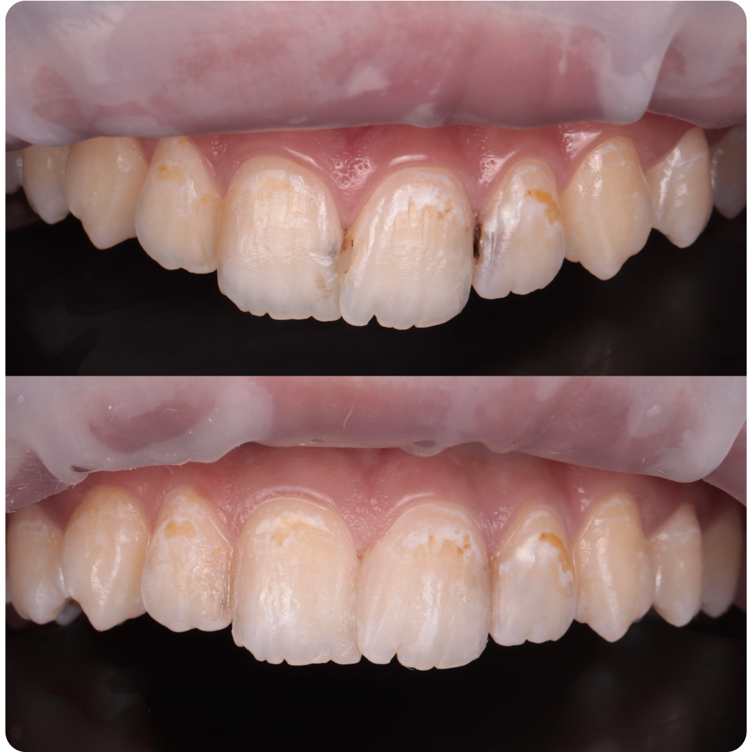
قبل وبعد العلاج: لحظات سحرية تُعيد تشكيل ابتسامتك

احجز خدماتك الطبية مسبقا واحصل على عرض خاصة

اكتشف عالم الراحة والرعاية عبر موقعنا الإلكتروني لخدمات الرعاية الطبية. نقدم مجموعة متنوعة من الحلول والخدمات الصحية. اختبر سهولة الوصول إلى خدمات طبية متميزة . تولِّ مسؤولية صحتك ببضع نقرات، ودعنا ندعمك في رحلتك نحو صحة أفضل.

صحتك تهمنا. قم بجدولة موعدك الطبي اليوم للحصول على رعاية استثنائية.

اوقات

العمل

السبت - الاربعاء

من : 09:30 صباح
الى : 10:00 مساء

الخميس

من : 09:30 صباح
الى : 07:00 مساء

+966 12 5108000
altababah@altababah.com

Single Post Category

الطبابة

احجز موعد